
Donde el cambio comienza: Casos de éxito
Nuestros casos de éxito más recientes
Casos Nextgen Dental
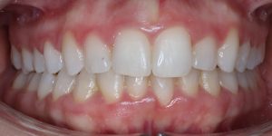
De los casos más simples, a lo más complejos

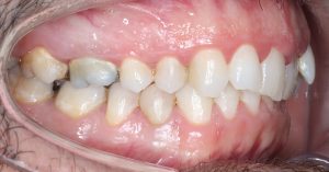
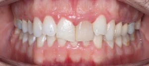
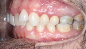
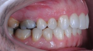
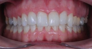
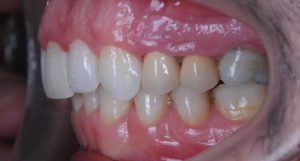
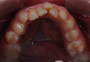
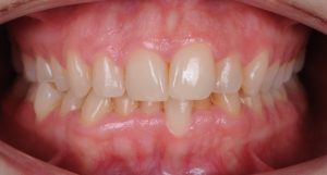
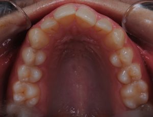
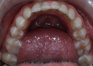
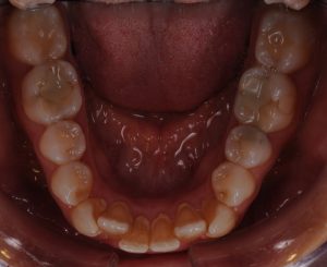
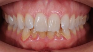
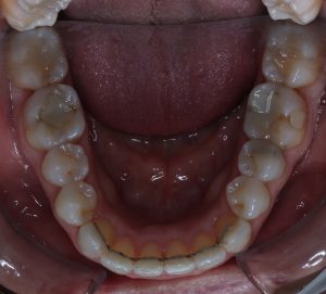
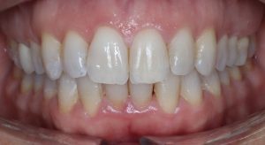
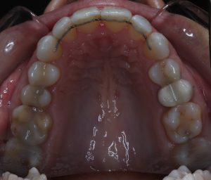
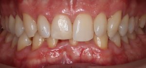
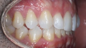
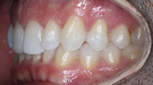
Maloclusión
Se caracteriza por una alineación incorrecta de los dientes, donde los dientes superiores e inferiores están en una relación normal, pero hay una falta de espacio que provoca que los dientes se solapen o estén apiñados.
Este problema puede generar dificultad para mantener una correcta higiene dental y afectar la estética de la sonrisa

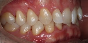
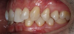
Maloclusión clase II
Se caracteriza por una relación anormal entre los dientes superiores e inferiores, donde los dientes superiores están demasiado adelantados en comparación con los inferiores.
Esto puede generar problemas funcionales, como dificultad para masticar, y también afectar la estética facial.

Maloclusión Clase III
La maloclusión dental de clase III se presenta cuando los dientes inferiores están más adelantados que los superiores, lo que provoca una sobremordida invertida.
Esta condición puede generar problemas en la mordida, dificultad para masticar y afectar la estética facial, especialmente en la proyección de la mandíbula.

Extracciones
En ciertos casos con apiñamientos muy severos puede requerir de la extracción de alguna pieza dental, siempre bajo la indicación y valoración del profesional, de tal modo que afecte lo mínimo posible a la funcionalidad y estética para conseguir la mejor relación intermaxilar.
Gracias a la ortodoncia invisible podemos posicionar los dientes en la situación ideal para cerrar el hueco que se quedaría tras la retirada de la pieza dental.

Mordida Abierta
La mordida abierta dental es una maloclusión en la que los dientes superiores e inferiores no se encuentran al cerrar la boca, dejando un espacio abierto entre ellos.
Esto puede dificultar la masticación y generar problemas de pronunciación, además de afectar la estética facial

Prognatismo
El prognatismo es una condición en la que la mandíbula inferior se proyecta hacia adelante, causando una discrepancia entre los dientes superiores e inferiores.
Este trastorno puede afectar tanto la función masticatoria como la estética facial, generando un perfil facial desproporcionado

Retrognatismo
El retrognatismo es una condición en la que la mandíbula inferior se encuentra retrasada respecto a la mandíbula superior, lo que provoca una mordida anormal.
Esto puede generar dificultades funcionales al masticar y afectar la estética facial, dando lugar a un perfil en el que el mentón parece hundido.

Mordida Cruzada
La mordida cruzada es una maloclusión en la que los dientes superiores muerden por dentro de los dientes inferiores, lo que puede afectar tanto la función masticatoria como la estética.
Esta condición puede generar desgaste dental, dolor en la mandíbula y problemas en el alineamiento facial

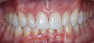
Diastemas
Los diastemas son espacios o huecos anormales entre dos dientes, comúnmente entre los dientes frontales superiores.
Aunque a menudo son una cuestión estética, pueden también estar relacionados con problemas funcionales si afectan la mordida o la alineación dental.






INITIAL
22 Semanas de Tratamiento
INTENSIVE
52 Semanas de tratamiento












FULL
35 Semanas de tratamiento
FULL
37 Semanas de tratamiento





