NextGen Dental
Laboratorio de
ortodoncia invisible y estética dental
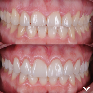
El uso de los alineadores invisibles ha supuesto un avance en la ortodoncia tanto a nivel de planificación como de aceptación en los pacientes a la hora de mejorar su aspecto y funcionalidad dental
Servicios NextGen Dental
Tenemos el plan perfecto
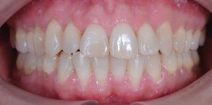
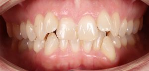
Ortodoncia Invisible
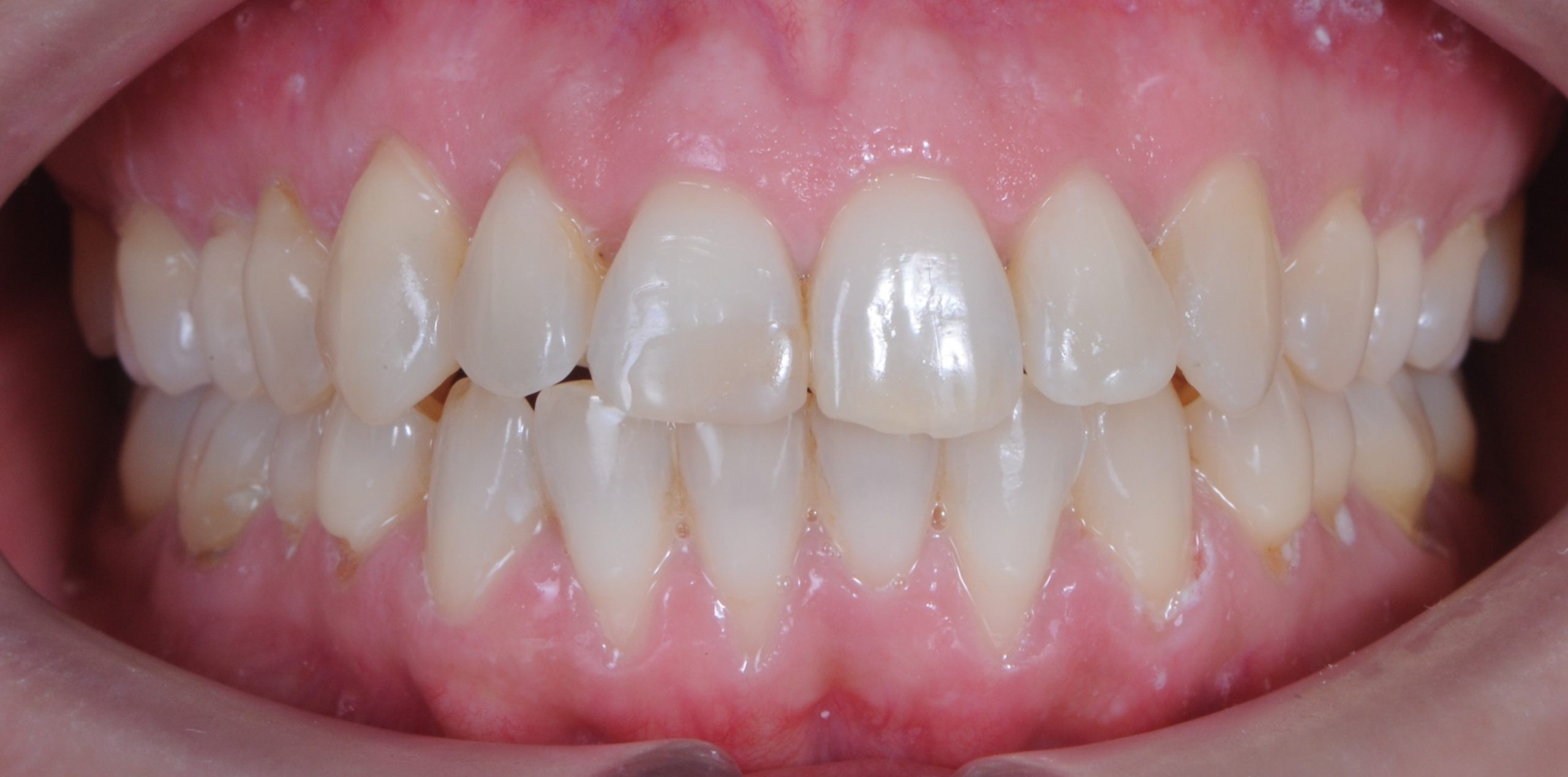
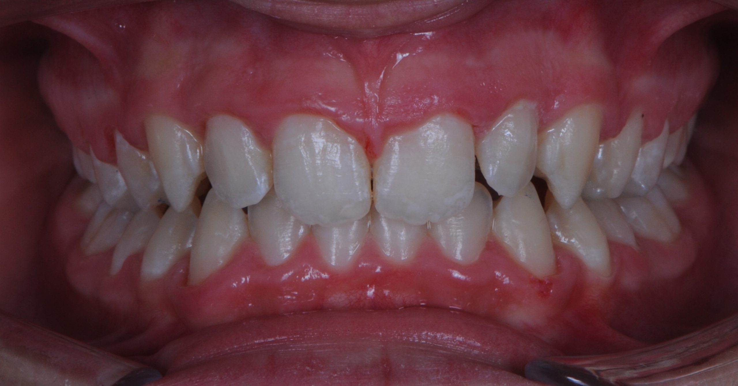
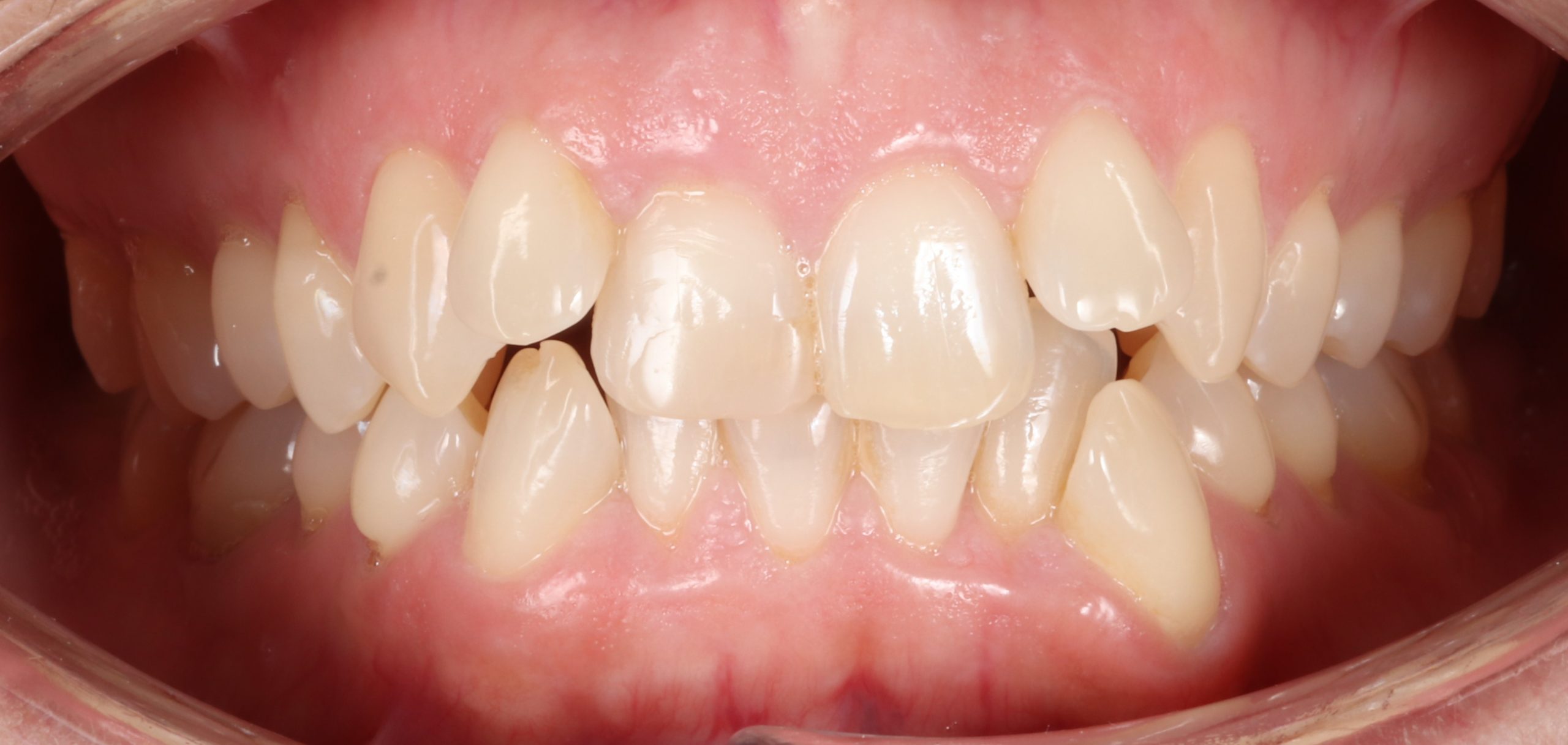
Los alineadores invisibles son dispositivos ortodónticos transparentes que se utilizan para corregir problemas de alineación dental. A diferencia de los brackets tradicionales, son casi imperceptibles y se pueden quitar para comer o cepillarse los dientes. Funcionan a través de una serie de alineadores personalizados que se van cambiando cada pocas semanas, moviendo los dientes gradualmente hacia la posición deseada. Son una opción popular por su estética y comodidad, aunque requieren de un compromiso con el uso constante para ser efectivos
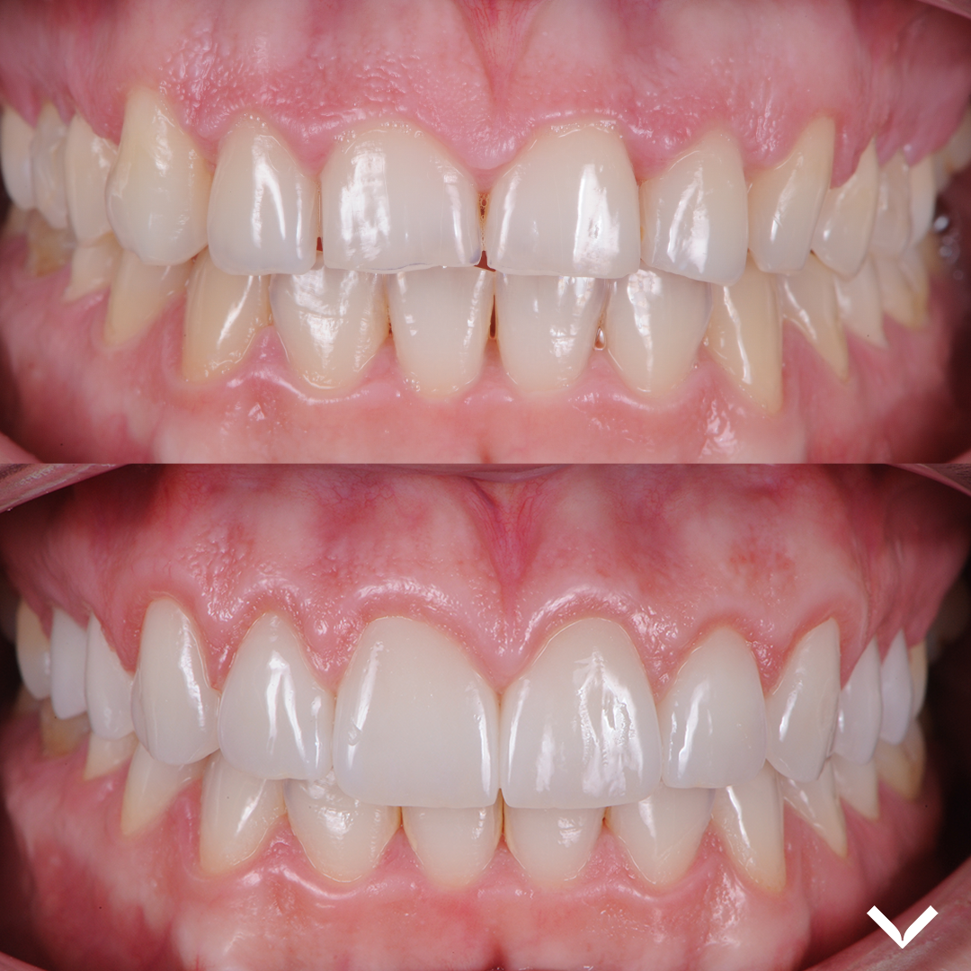
Diseño Digital de Sonrisa
Utilizando tecnología de vanguardia, nuestro equipo de expertos trabaja de la mano con las clínicas dentales para crear simulaciones digitales personalizadas que muestran cómo quedará la sonrisa de tu paciente antes de realizar cualquier intervención. A través de un proceso completamente digital, conseguimos diseñar sonrisas armónicas y naturales, adaptadas a las proporciones faciales y los deseos del paciente.
Oferta alineadores Invisibles NextGen Dental
¿Ya trabajas los alineadores invisibles en tu consulta?
En Nextgen Dental ofrecemos un precio más asequible, gracias a la apertura de un mercado en continuo crecimiento y un abaratamiento del coste de producción.
Hemos conseguido reducir tiempos de trabajo gracias al desarrollo de las nuevas tecnologías 3d y su accesibilidad.
Te ofrecemos la posibilidad de obtener un mayor beneficio
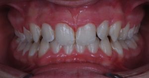
Ortodoncia
invisible en adultos















